Het beste van twee werelden
Binnen 1 seconde ontvangt elke corneaspecialist zowel een Scheimpflug-beeld van het voorsegment als de ultra hoge resolutie OCT-beelden van het hoornvlies, allemaal gegenereerd in één enkel meetproces.
1. Voordelen van de Scheimpflug-technologie
Al meer dan 20 jaar is de Scheimpflug-technologie de bewezen gouden standaard in tomografie van het voorsegment. Alle parameters van het voorsegment worden in één keer met zeer hoge nauwkeurigheid gemeten. Klinische studies uit de afgelopen twee decennia vormen de basis van de software, die voldoet aan alle behoeften: van refractieve screening tot de selectie van premium IOL’s, IOL-berekeningen en het aanmeten van scleralenzen.
Bewezen en gevalideerde software met normatieve data:
- Belin/Ambrósio Enhanced Ectasia Display*
- Cataract Pre-OP Display*
- Corneal Optical Densitometry*
- Fast Screening Report*
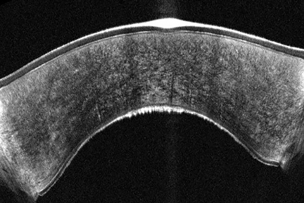
2. Voordelen van de Cornea-OCT-technologie
Hoge-resolutie OCT-technologie maakt gedetailleerde visualisatie van de corneale structuren mogelijk, inclusief nauwkeurige meting van de epitheliale dikte. Deze meting is cruciaal voor de vroege detectie van corneale ectasie. Epitheliale diktemapping ondersteunt bovendien de chirurgische planning, wat bijdraagt aan optimale resultaten van refractiechirurgie. OCT-beeldvorming is bovendien essentieel voor:
- postoperatieve zorg;
- het volgen van genezing;
- en het opsporen van complicaties na LASIK of keratoplastiek.
- Ultra hoge resolutie over het gehele hoornvlies
- Uniek groothoek pericentrisch scansysteem
- Averaging-modus voor “Optische biopsie”**
- Epitheliale diktemapping
1+2 = Beste van 2 werelden: Scheimpflug + OCT
Door Scheimpflug-technologie en OCT te combineren ontstaat een volledig beeld: Scheimpflug toont lichtverstrooiende structuren in het voorste oogsegment met blauw licht, terwijl OCT ongeëvenaarde details geeft. Beide metingen worden gelijktijdig uitgevoerd op exact dezelfde locaties, wat directe en gedetailleerde visualisatie van alle afwijkingen mogelijk maakt.
- Superieure beeldkwaliteit:
- Scheimpflug toont verstrooiing;
- OCT geeft gedetailleerde structuren
- Verbeterde nauwkeurigheid: precieze metingen op identieke corneale locaties
- Geavanceerde diagnostiek: combinatie van bewezen tomografische analyse met epithelial mapping
- Neerwaarts compatibel: follow-up metingen gebaseerd op uw bestaande Pentacam®-data
* See Software Configurations information brochure
** Term quoted by Renato Ambrósio Jr






















